In primo piano
Ultime novità
La Terra photobomber nell'immagine scattata da un satellite
L'americano Goes-19, la sua ombra ha oscurato in parte il Sole
Delta del Po e lagune adriatiche tra i 10 supersiti europei
Fanno parte della rete di ricerca dedicata a questi ambienti
Allerta smog luminoso per il lancio di 4.000 specchi spaziali
Per alimentare pannelli solari. Rischi per salute e astronomia
L'Adriatico troppo caldo, sta perdendo le sue praterie
Vitali per biodiversità, stabilità costiera e stoccaggio di CO2
I dinosauri prosperarono fino alla fine, nessun lento declino
Le prove in alcune rocce del New Mexico
Test superati per razzo riutilizzabile cinese, risposta a SpaceX
Si chiama Zhuque-3, possibile primo lancio entro fine anno
Bernini, 'la ricerca è una forma di pace'
Al Premio De Sanctis, un messaggio all'eccellenza della scienza
La cometa Lemmon ha salutato la Terra,ora il picco di luminosità
Fotografata anche sopra le Tre Cime di Lavaredo, sulle Dolomiti
Il Covid altera lo sperma e aumenta l'ansia nella prole
Studio su topi, possibili conseguenze per le future generazioni
Manovra, nasce il Fondo per la programmazione della ricerca
Con oltre 400 milioni per il 2026
Primo passo dei computer quantistici nel mondo reale
Chip di Google analizza molecola più veloce di un supercomputer
Da Bannon al principe Harry, in 800 contro superintelligenza IA
Nobel, esperti e politici chiedono di vietarne lo sviluppo
Individuato nel cervello il circuito che aiuta a placare l'ansia
Apre a trattamenti per disturbi come anoressia e bulimia nervose
Approda in Senato la cosiddetta 'macchina di Majorana'
La denuncia del Cicap: 'voce della razionalità lasciata fuori'
Scoperta pista di orme di dinosauro da record, è lunga 220 metri
E' la più grande lasciata in Europa da un singolo sauropode
Marte spazzato da vortici di polvere, tracciati 1.039 in 20 anni
Aiuteranno a pianificare le missioni future
Sostenibilità e innovazione, verso la Nse New Space Economy 2025
Presentata a Roma la settima edizione della fiera italiana
Microfiori-robot fatti di Dna per recapitare farmaci nel corpo
Cambiano forma a seconda dell'ambiente
Smog su Etna e Pianura padana nelle prime immagini di Sentinel-4
La missione europea monitorerà la qualità dell'aria ogni ora
Dai Cv falsi al vishing, le nuove tecniche dei cybercriminali
Gli identikit dei gruppi raccontati a Cybertech Europe a Roma
Pianura Padana meno inquinata con antica tecnica agricola
Studio Statale di Milano e Mit pubblicato su Scientific Reports
IA e quantum i pericoli cyber più temuti dalle aziende
Rapporto Thales presentato alla Cybertech Europe 2025
Il futuro della cybersicurezza, tra IA e tecnologie quantistiche
Prende il via a Roma la Cybertech Europe, cresciuta del +20%
Esa e Asi,da Italia risultati straordinari in Osservazione Terra
Fra i settori di punta della prossima Conferenza Ministeriale
In Italia circa 500 stazioni per monitorare i terremoti h24
A Milano 3 giorni di confronto sulla Rete sismica nazionale
C'è un legame tra rigidità dei tessuti e progressione dei tumori
I meccanismi molecolari scoperti da uno studio guidato dal Cnr
La Nasa indietro nella corsa alla Luna cerca alternative a Musk
Presto un nuovo bando, possibile il coinvolgimento di Bezos
Il cerambice alpino è tornato in Alto Adige
Popolazione stabile del raro coleottero nei boschi di Caldaro
Tumore seno, farmaco aumenta sopravvivenza senza peggioramento
-62% rischio progressione o morte in pazienti con mutazione Esr1
Nuovo vaccino anti-cancro contro più forme di tumore
A base di nanoparticelle. Dati positivi dai test sui topi
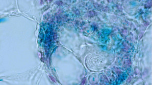
Cellule, spore e insetti nelle 20 migliori foto del 'micromondo'
Premiate dal concorso fotografico Nikon Small World 2025
Catturata la prima immagine di una coppia di buchi neri
Orbitano uno attorno all'altro con una periodicità di 12 anni